内科胸腔镜对于不明原因渗出性胸腔积液具有较高的诊断价值[1]。目前,内科胸腔镜的临床应用主要聚焦于胸膜疾病诊断领域,其在胸膜疾病治疗中的作用尚未得到充分的发挥。胸膜疾病病因复杂,部分疾病治疗难度大,如胸腔感染、支气管胸膜瘘、顽固性气胸、消失肺综合征和恶性胸腔积液。针对临床难点问题,李为民教授团队进行了一系列临床研究,并于近期在Respiratory Research(IF:4.7)胸膜疾病专栏发表系统综述“Beyond diagnosis: maximizing the role of medical thoracoscopy in pleural disease treatment”(图1),将内科胸腔镜在胸膜疾病治疗中的应用进行梳理与总结。

图1. Beyond diagnosis: maximizing the role of medical thoracoscopy in pleural disease treatment
【胸膜腔感染】
胸膜腔感染是我国胸腔积液的最常见原因[2],以复杂性肺炎旁积液和脓胸最为棘手。多房性分隔的存在造成胸腔积液引流困难,胸膜腔炎症造成胸膜增厚、粘连,导致限制性通气功能障碍。
内科胸腔镜术较传统胸腔置管引流或胸腔内注射纤维蛋白溶解药物可更高效的加强局部引流。Adnan Majid[3]的研究显示内科胸腔镜术可缩短复杂性肺炎旁积液和脓胸患者的住院时间。内科胸腔镜术后胸腔注射尿激酶可促进胸腔内纤维蛋白及坏死物的溶解、加强胸腔引流。

图2. 胸膜腔感染:脓胸患者的胸部CT及胸腔镜下表现,镜下清理脓腔
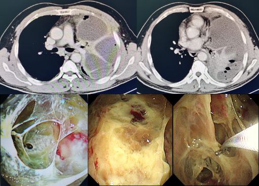
【支气管胸膜瘘】
支气管胸膜瘘在临床上并不少见,是胸外科手术后比较严重的并发症之一。支气管胸膜瘘是胸外科手术后比较严重的并发症之一。支气管镜下封堵瘘口是其常用的介入治疗方法。在内科胸腔镜下氩气刀烧灼联合医用胶局部喷洒封堵治疗,对于外周型支气管胸膜瘘可取得较好的治疗效果。
【难治性气胸】
临床上一般将持续肋间引流7 d后仍存在活动性漏气的各种类型的气胸称难治性气胸。支气管腔内封堵是常用的内科治疗方法,部分患者由于责任支气管定位困难,且封堵材料容易脱落,导致治疗失败。近年来,国内外学者发现内科胸腔镜可用于此类患者的治疗,且具有一定的效果。
1. 内科胸腔镜下胸膜固定术
胸膜固定术是难治性气胸的治疗方法之一,其原理是通过物理或化学性刺激脏壁层胸膜,促使脏壁层胸膜闭合。J M Tschopp等人[5]通过对93例气胸患者行胸腔镜下滑石粉喷洒治疗,成功率高达97%,但对于直径>2 cm的肺大疱患者效果欠佳。胸膜固定术前需充分评估肺的可复张性,术后需给予持续胸腔负压吸引,保证脏壁层胸膜充分贴合、固定。但鉴于胸膜固定术会引起胸膜腔粘连、闭锁,对于有胸腔镜或开胸手术意向的患者,慎用胸膜固定术。
2. 内科胸腔镜下分离粘连并处理破口
张华[6, 7]将氩离子凝固术应用于局部处理直径<4 cm肺大疱,联合局部喷洒医用胶;对于直径≥4 cm的胸膜下肺大疱所致自发性气胸则应用内科胸腔镜行医用胶辅助APC联合巨型肺大疱减容术,均取得了较好的效果。
内科胸腔镜不仅能发现、处理肺大疱及瘘口,也可用于松解胸腔粘连,提高了肺复张的能力。因此,对于部分无明确破口的难治性气胸患者,内镜下松解粘连不仅促进肺复张,也加快了气胸的愈合。

图3.难治性气胸:内科胸腔镜下松解胸腔粘连,消融肺大疱并封堵破口
【消失肺综合征】
消失肺综合征又称“巨型肺大疱”,常合并于慢性阻塞性肺疾病,外科减容手术存在术后漏气时间长、创伤大、住院费用高的问题。
虽有学者报告经支气管镜腔内填塞硅胶塞或自体血封堵可用于巨型肺大疱患者的减容治疗,由于巨型肺大疱多存在侧支通气,经支气管腔内封堵治疗效果有限。近年来,国内学者[8]通过内科胸腔镜对巨型肺大疱患者进行减容治疗,但是该方法仍缺乏标准的操作流程,且部分患者存在术后肺大疱复张及漏气时间延长等风险。

图4.消失肺综合征:患者术前术后胸部CT变化及胸腔镜下巨大肺大疱的表现
【恶性胸腔积液】
目前,可在内科胸腔镜下行胸膜固定术或光动力治疗恶性胸腔积液(malignant pleural effusion,MPE)患者。

图5.内科胸腔镜下对恶性胸腔积液患者进行局部消融治疗
1、 胸膜固定术
胸膜固定术适用于胸腔穿刺排液后影像学评估肺可完全复张,或肺大部分可复张的患者。滑石粉喷洒方式包括经胸腔镜滑石粉微粒喷洒和经胸腔置管滑石粉匀浆灌注。Rahul Bhatnagar等人[9]进行了一项纳入了330例恶性胸腔积液患者的多中心研究显示,两种方式胸膜固定成功率无显著差异。
2、光动力治疗
内科胸腔镜下光动力治疗在彻底清除胸水的同时,可对胸膜病灶进行微创治疗。目前报道主要来自于外科手术联合光动力治疗,取得了较好的效果[11]。但是肿瘤晚期患者多无法耐受全麻、气管插管下行外科手术治疗。因此,有必要探索内科胸腔镜下光动力治疗技术在MPE中的价值。
3、热消融治疗
内科胸腔镜不仅可清除胸腔多房性分隔,促进胸膜肿瘤暴露及肺复张,还可在直视下对胸膜肿瘤性病变进行局部消融治疗,目前报道显示应用氩离子凝固术或电烙术进行热消融可取得了较好的疗效。
【总结与展望】
内科胸腔镜不仅可加强胸膜腔感染患者的局部引流;也可作为于支气管胸膜瘘、难治性气胸、消失肺综合征及恶性胸腔积液等难治性疾病的治疗选择方案之一,但其适应症及获益人群仍有待进一步探索研究。随着介入技术的进步,内科胸腔镜在胸膜疾病的治疗中将会发挥更为重要的作用。
【专家团队介绍】

李为民 院长
• 四川大学华西医院呼吸和共病研究院院长
• 教育部长江特岗学者
• 呼吸和共病全国重点实验室(华西)负责人
• 中华医学会副会长
• 中国医师协会副会长
• 中华医学会呼吸病学分会副主任委员
• 中华医学会呼吸病学分会胸膜与纵隔疾病筹备学组组长
• 从事呼吸系统疾病的临床及临床研究,在Cell、Nature Medicine等期刊发表研究论文200余篇。研究成果以第一完成人获国家科技进步二等奖。

田攀文 教授
• 医学博士、主任医师、博士生导师
• 四川大学华西医院 肺癌中心 副主任
• 四川大学华西医院 呼吸与危重症医学科 医疗组长
• 四川省学术与技术带头人后备人选
• 中国抗癌协会肺癌专业委员会青年委员
• 四川省抗癌协会肿瘤呼吸病学专委会副主任委员
• 四川省医学会呼吸专委会肺癌学组副组长
• 参与获得国家科技进步奖二等奖,四川省科技进步奖一等奖
• 主持国家自然科学基金面上项目、四川省科技厅重点项目等

王凯歌 教授
• 四川大学华西医院 呼吸与危重症医学科 医学博士 副主任医师
• 研究方向:胸膜与纵隔疾病、肺结节病
• 擅长各种胸腔积液的诊疗,擅长脓胸、顽固性气胸、支气管胸膜瘘及巨型肺大疱的内镜下介入治疗。参与编写“胸腔积液诊断的中国专家共识”和“恶性胸腔积液治疗的中国专家共识”。目前以第一作者在发表临床研究论文20余篇。

左玲
• 四川大学华西医院 全程管理中心 药学硕士 专病管理师
• 研究方向:胸膜与纵膈疾病、肺间质疾病、药物经济学
• 参与多项省部级、省科技厅重点项目。以第一作者(包括共同第一)在Drug Design, Development and Therapy new articles,Respiratory Research等期刊发表研究论文2篇,中文核心论文1篇。申请专利1项。
参考文献:
[1] Thomas M, Ibrahim WH, Raza T, et al. Medical thoracoscopy for exudative pleural effusion: an eight-year experience from a country with a young population. BMC Pulm Med. 2017. 17(1): 151.
[2] Tian P, Qiu R, Wang M, et al. Prevalence, Causes, and Health Care Burden of Pleural Effusions Among Hospitalized Adults in China. JAMA Netw Open. 2021. 4(8): e2120306.
[3] Kheir F, Thakore S, Mehta H, et al. Intrapleural Fibrinolytic Therapy versus Early Medical Thoracoscopy for Treatment of Pleural Infection. Randomized Controlled Clinical Trial. Ann Am Thorac Soc. 2020. 17(8): 958-964.
[4] Tschopp JM, Brutsche M, Frey JG. Treatment of complicated spontaneous pneumothorax by simple talc pleurodesis under thoracoscopy and local anaesthesia. Thorax. 1997. 52(4): 329-32.
[5] 张华, 段存玲, 薛广伟等. 经内科胸腔镜行医用胶辅助氩等离子体凝固术联合巨型肺大疱减容术治疗胸膜下肺大疱所致自发性气胸的疗效及安全性. 中华结核和呼吸杂志. 2022. 45(12): 1204-1208.
[6] 张华, 葛长胜, 孙中美等. 内科胸腔镜下氩离子凝固术治疗胸膜下肺大疱所致自发性气胸的效果及安全性. 中华医学杂志. 2017. 97(40): 3.
[7] Lin H, Zhang H, Yang D, et al. Bronchoscopic Treatment of Giant Emphysematous Bullae with Endobronchial Silicone Plugs. Int J Chron Obstruct Pulmon Dis. 2022. 17: 1743-1750.
[8] Bhatnagar R, Piotrowska H, Laskawiec-Szkonter M, et al. Effect of Thoracoscopic Talc Poudrage vs Talc Slurry via Chest Tube on Pleurodesis Failure Rate Among Patients With Malignant Pleural Effusions: A Randomized Clinical Trial. JAMA. 2020. 323(1): 60-69.
[9] Simone CB 2nd, Cengel KA. Photodynamic therapy for lung cancer and malignant pleural mesothelioma. Semin Oncol. 2014. 41(6): 820-30.