弥漫性囊性肺疾病(Diffuse Cystic Lung Diseases, DCLDs)是一组病理生理学异质性疾病,其共同影像学特征为多发性薄壁肺囊肿。DCLDs在流行病学、临床表现、分子发病机制及治疗策略上均不同于典型的纤维炎症性间质性肺疾病,因此值得单独分类。由于部分DCLDs已发现靶向治疗方法,及时准确识别这类疾病对患者管理的影响尤为关键。
本文提出DCLD患者的评估框架,阐明当前最适宜的诊疗策略。重点探讨呼吸科医师最可能接触的四种DCLDs:淋巴管平滑肌瘤病(lymphangioleiomyomatosis, LAM)、肺朗格汉斯细胞组织细胞增生症(pulmonary Langerhans cell histiocytosis, PLCH)、Birt-Hogg-Dubé综合征(Birt-Hogg-Dubé syndrome, BHD)、淋巴细胞性间质性肺炎(lymphoid interstitial pneumonia, LIP),胸部CT是识别DCLDs最具价值的无创诊断手段。在此基础上,采用结构化方法分析相关高危因素(如医疗史、社会家族史、肾脏/皮肤表现)可显著提高DCLDs检出率及诊断准确性。

【总结】
尽管DCLDs各亚型均属罕见病,但临床实践中总体发生率常被低估。呼吸科医师需提升对该类疾病的认知,并通过系统化临床检查与评估流程,实现早期干预,最终降低致残率与死亡率。
【检索策略与纳入标准】
本综述的参考文献通过检索PubMed数据库中1980年1月至2023年8月发表的文章获得。检索词包括:弥漫性囊性肺疾病(diffuse cystic lung disease)、LAM、BHD、PLCH、LIP。此外,还从作者个人文件、Google Scholar、ResearchGate和Springer在线档案馆藏中检索了1980年至2023年期间发表的相关文章。对这些检索到的文章及其引用的相关文献进行了审阅,纳入了以英语、法语、西班牙语和德语发表的文章。
【分类及流行病学】
DCLD可能源于单一可识别的原因,或社会、遗传和环境因素之间的复杂相互作用。因此,人们认识到了广泛的病因,从而形成了广泛而重叠的分类结构(表1)。
表1 囊性肺疾病病因的分类建议

弥漫性囊性肺病的确切患病率目前还不清楚,而且很可能被严重低估了,因为经常会出现诊断延误和漏诊的情况。LAM几乎只发生在女性身上,之前的估计患病率是每百万女性中有3.4到7.8例。不过最近的研究表明,LAM的实际患病率可能比这个高得多,接近每百万成年女性中约20例。BHD的患病率大概是每百万人中有2例,男女比例相似。但这个数字可能被严重低估了,因为大约5%到10%的原发自发性气胸(SP)患者可能实际上患有BHD。PLCH的患病率与BHD相似,大概每百万人中有5例,而且没有明显的性别倾向。滤泡性细支气管炎/淋巴细胞性间质性肺炎(FB/LIP)比较罕见,具体患病率还不清楚。
相比之下,干燥综合征就相对常见了,估计每百万人中有430例,而且女性占绝大多数。在干燥综合征患者中,有7.4%到46.2%的人会出现DCLD。保守估计的话,如果5%到10%的干燥综合征患者发展成DCLD,那么干燥综合征相关的囊性肺病患病率就是每百万人中有21到43例。这种病最常见的是FB/LIP,少数情况下也可能表现为淀粉样变性、轻链沉积病或淋巴瘤。在评估胸部影像时提高对DCLDs的警惕,并对高风险人群(比如成年女性结节性硬化症[TSC]患者、原发自发性气胸患者)进行筛查,有助于尽早诊断并制定针对性的治疗方案。
【DCLD的识别】
表2 主要的DCLDs总结

表3 适用于所有DLCDs的一般建议

【放射学评估】

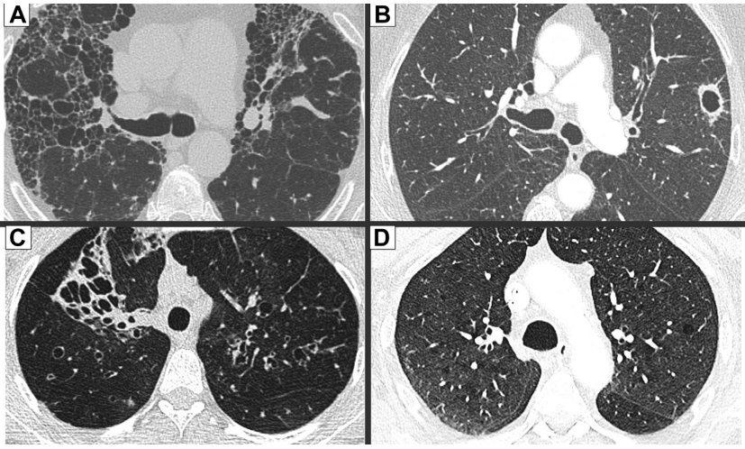
图1 A-D,弥漫性囊性肺疾病的囊肿分布
胸部CT成像显示了囊性病变(蓝色)在 (A)淋巴管平滑肌瘤病(LAM)、(B)Birt-Hogg-Dubé综合征(BHD)、(C)淋巴细胞性间质性肺炎(LIP)和(D)肺朗格汉斯细胞组织细胞增生症(PLCH)中的分布。注意LAM中的囊性病变均匀分布;BHD中椭圆形囊肿以胸膜下、下叶为主;LIP中的沿血管周围的囊肿;以及PLCH中以上肺叶为主的囊肿。

图2 A-D展示CT扫描中常见的囊性肺疾病鉴别诊断表现
(A)肺纤维化特征性的蜂窝样改变。(B)肺空洞/脓肿,可见厚壁且边界清晰,不符合典型囊肿特征。(C)囊状支气管扩张,通过连续CT层面观察气道连续性可明确诊断。(D)细微的肺小叶中心型肺气肿,通常通过缺乏明确的囊壁以及存在穿过气腔的血管来区分。

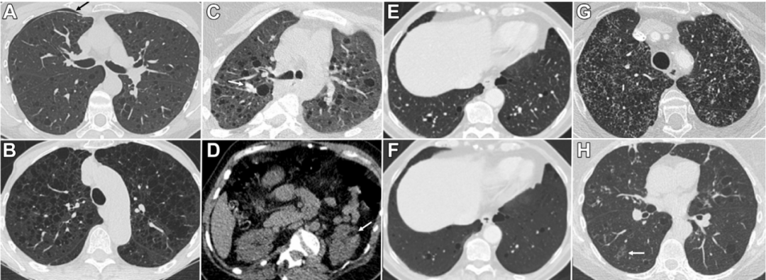
图3 A-H,CT扫描中识别的弥漫性囊性肺疾病的特征
(A)肺窗下的轴位胸部CT扫描显示一位成年女性LAM患者存在多个、散在的、薄壁肺囊,以及一个小的右侧自发性气胸(箭头所示)。
(B)一位患有严重LAM的老年女性患者,双肺广泛分布的囊性病变几乎完全替代了正常的肺实质。
(C)一位患有结节性硬化症相关LAM的成年女性患者的胸部CT扫描显示广泛的双肺囊性病变,右侧斜裂处因既往滑石粉胸膜固定术而出现高密度增厚。
(D)同一患者的腹部非增强CT扫描显示左肾前极区域约2厘米大小的脂肪密度病变(箭头所示),符合血管平滑肌脂肪瘤。
(E)一位患有Birt-Hogg-Dubé综合征的成年男性患者的胸部CT图像,显示双肺底散在分布的囊肿,呈纵隔旁及静脉周围分布模式。
(F)同一患者的最小强度投影(MinIP)CT图像。MinIP重建可以通过强调低密度体素来增加囊性病变的可见性。
(G)一位患有肺朗格汉斯细胞组织细胞增生症的成年女性,CT表现为上叶广泛不规则厚壁肺囊肿伴小叶中心性微结节。
(H)干燥综合征相关淋巴细胞性间质性肺炎成年女性患者的胸部CT,可见肺囊肿、斑片状磨玻璃影(箭头所示)及不均匀支气管壁增厚。
【囊性肺疾病患者的诊疗流程算法】

图4 囊性肺疾病患者的诊疗流程算法。
*需考虑主要弥漫性囊性肺疾病(DCLDs)的非典型表现或其他病因。
【病理学评估】

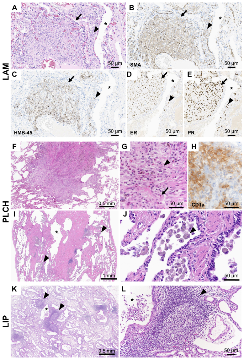
图5 A-L:弥漫性囊性肺疾病的组织病理学特征与影像学表现的对应关系
A-E:淋巴管平滑肌瘤病(LAM)的诊断特征
(A)可见囊肿(*),囊肿周围梭形及上皮样LAM细胞(箭头)形成结节(箭头)。LAM细胞具有平滑肌和黑色素细胞表型,表现为:平滑肌肌动蛋白(SMA)阳性表达(B,棕色)人黑色素瘤黑素体标记物(HMB-45)抗体染色阳性(C)雌激素受体(ER)(D,棕色)与孕激素受体(PR)(E,棕色)高频表达。F-J:肺朗格汉斯细胞组织细胞增生症(PLCH)的细胞期特征。(F)结节由朗格汉斯细胞簇组成,其特征性折叠/肾形核(G,箭头)常混杂嗜酸性粒细胞等炎症细胞(G,箭头)。(H)CD1a免疫组化染色阳性(棕色)标记朗格汉斯细胞。(I)晚期PLCH伴星状胶原纤维化(*示囊性扩张气腔)。(J)常见吸烟相关改变:呼吸性细支气管炎特征的气腔内色素沉着巨噬细胞聚集(箭头)。K-L:淋巴性间质性肺炎(LIP)的诊断特征(K)肺泡间隔因炎性浸润显著增宽伴肺泡结构扭曲。(L)肺泡化肺实质及细支气管周围可见生发中心的淋巴滤泡(箭头)。
其他囊性相对罕见的弥漫性囊性肺疾病
在鉴别诊断过程中,需全面考虑各类相对罕见的DCLDs病因及其特征性表现。首要的鉴别诊断应包括淀粉样变性和轻链沉积病这两种重要疾病。淀粉样变性既可表现为全身系统性疾病,亦可局限于肺部,少数情况下会以DCLD形式呈现。值得注意的是,在淀粉样变性相关的DCLD病例中,约三分之一可能合并恶性肿瘤(如黏膜相关淋巴组织淋巴瘤)。部分LIP病例,尤其是合并干燥综合征者,肺组织活检中可能发现淀粉样物质沉积。轻链沉积病作为单克隆免疫球蛋白沉积疾病,通常与淋巴浆细胞增殖性疾病(如多发性骨髓瘤、意义未明的单克隆丙种球蛋白病)相关,少数情况下也可伴随干燥综合征等自身免疫性疾病发生。虽然以常见DCLD样病变为表现的孤立性肺轻链沉积病较为罕见,但临床已有明确报道。
某些结缔组织疾病,包括埃勒斯-当洛斯综合征、马凡综合征和神经纤维瘤病,也应被视为DCLD的潜在遗传因素。先天性病变,如先天性肺气道畸形,也可在儿童或成年期表现为DCLD。DCLD的其他罕见原因包括高IgE综合征,这是一种罕见的原发性免疫缺陷疾病,其特征是血清IgE水平升高,以及鼻窦-肺及皮肤感染。吞火者肺(Fire-eater’s lung)也可因多发性肺大疱而在CT上表现为弥漫性囊肿。某些恶性肿瘤可以模仿DCLD,包括原发性肺癌、转移性腺癌、膀胱癌和转移性肉瘤等。因此,在诊断过程中应仔细考虑,排除恶性肿瘤的可能性。其他已报道导致肺囊肿的罕见疾病包括衣壳蛋白复合物α亚基综合征和遗传性C-C趋化因子受体2型缺乏症。
【弥漫性囊性肺病(DCLD)患者的通用管理建议如下】
尽管不同的DCLD治疗策略存在差异,但所有患者均应接受以下基础管理建议:戒烟、接种针对常见呼吸道病原体的疫苗、了解自发性气胸(SP)的体征和症状以及SP的应急处理方案,以及航空旅行的整体风险和安全性。一些研究估计,DCLD患者因与航空旅行相关的大气压力变化导致气胸的风险约为1%,各亚型具体风险为LAM:1.1%至2.6%,BHD:0%至0.63%,PLCH:0.37%。总体而言,航空旅行对于大多数DCLD患者来说是安全的;然而,针对患者的个体化评估应考虑囊肿的广泛程度以及应对SP的基础心肺功能储备。如飞行前新发呼吸困难和/或胸痛,应立即就医评估。
【作者简介】

刘杰教授
* 主任医师 医学博士(导师:钟南山院士)
* 博士研究生导师 博士后合作导师
* 美国俄亥俄州辛辛那提大学总医院博士后(导师:美国Francis X. McCormack 教授)
* 国家呼吸医学中心、广州国家实验室
* 国家呼吸系统疾病临床医学研究中心
* 呼吸疾病全国重点实验室
* 广州呼吸健康研究院(原广州呼吸疾病研究所)
* 广州医科大学附属第一医院 呼吸与危重症医学科
* 罕见病与间质性肺疾病专业组组长(Rare and Interstitial Lung Disease Program)
* 工作邮箱:ljgird001@163.com
学术任职:
* 中华医学会呼吸病学分会遗传与罕见病学组副组长
* 中国罕见病联盟呼吸病学分会全国副主任委员
* 中国初级卫生保健基金会华南区呼吸罕见病专业委员会 主任委员
* 中国医师协会呼吸医师分会间质性肺疾病工作委员会 委员
* 中国医师协会腔内血管学专业委员会淋巴疾病专业 委员
* 中国研究型医院学会罕见病分会第一届 常务理事
* 广东省药学会罕见病专家委员会 副主任委员 兼呼吸学组组长
* 广东省医学会罕见病分会 常务委员 兼呼吸学组副组长
* 广东省医疗行业协会呼吸病管理分会 常务委员
* 广州医科大学附属第四医院呼吸科主任(2014-2015)
* 华南区呼吸罕见病专科门诊创始人、负责人
* 华南区肺淋巴管肌瘤病专病门诊创始人、负责人
* Director of Rare Lung Disease Clinic in Guangzhou of Southern China
* Director of Guangzhou LAM Clinic of American LAM Foundation
* Orphanet Journal of Rare Diseases 审稿人
* 《医学分子生物学》杂志青年编委
* 2003年广东省“抗击非典”三等功
* 2003年广州市“抗击非典”先进个人称号
* 医疗擅长:呼吸罕见病、间质性肺疾病、肺部肿瘤

梁潘巧
* 2023级硕士研究生(导师:刘杰)
* 广州呼吸健康研究院(原广州呼吸疾病研究所)
* 广州医科大学附属第一医院
参考文献
1. Franciosi AN, Gupta N, Murphy DJ, Wikenheiser-Brokamp KA, McCarthy C. Diffuse Cystic Lung Disease: A Clinical Guide to Recognition and Management.Chest 2025; 167(2): 529-47.