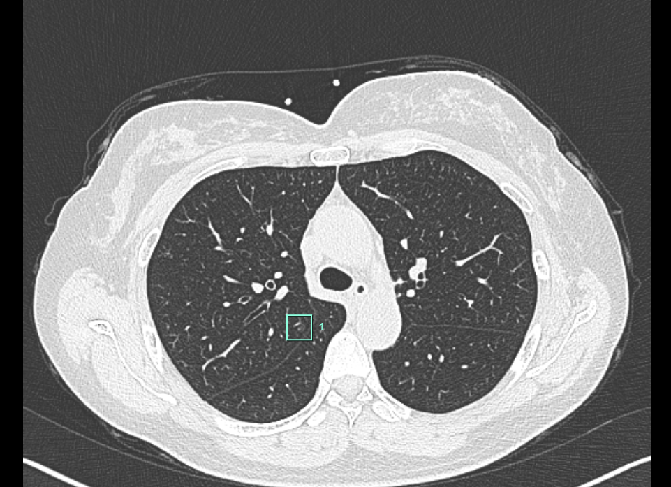
近日,刘女士因胸闷到河南省胸科医院胸外科九病区杜佳辉门诊就诊,胸部CT示右肺上叶后段结节。结节位置很深,普通的定位针很难达到,即使定位成功也会让患者感到疼痛不适。刘女士本身对疼痛耐受程度很低,门诊的时候就多次强调怕疼。
杜佳辉当即组织科内成员(刘渊源,于海峰,徐家文,李宏超)与麻醉科奚高原,徐小杰进行多学科病例讨论,考虑多方面因素最终决定让患者感觉不到疼痛的手术方式,即为采取无管麻醉的方式全麻下进行电磁导航定位肺结节,然后进行吲哚菁绿(ICG)染色进行荧光胸腔镜右肺上叶后段切除。术中由术者进行肋间神经阻滞,最大程度减轻了患者围术期间的疼痛。同时术中不留置导尿管。
“肺肿瘤早筛与无管微创技术联盟”是2024年10月12日,由广州医科大学附属第一医院和国家呼吸医学中心共同发起成立,联盟目前已吸纳超过200余个盟员单位。近年来,河南省胸科医院作为联盟的联盟单位,紧跟时代步伐,积极响应国家呼吸医学中心的号召,通过深入交流与合作,积极推进肺癌早筛和无管微创技术的发展,目前该院心胸外科已成功完成了多例非气管插管保留自主呼吸全麻胸腔镜下肺切除术。技术的成功应用,不仅减少了患者的痛苦和并发症,还大幅缩短了康复周期,降低了医疗费用,提高肺癌患者的生存率和生活质量。

此种极致微创手术,既让患者从术前到术后感觉不到疼痛,又省去了以往膨胀萎限法肺段切除的时间。无管化(tubeless)麻醉是一种全新的麻醉技术。非气管插管麻醉技术用于外科手术麻醉,它避免了传统气管插管所带来的咽喉、声带及气管的损伤,减少了术后咽喉疼痛等不适;同时,该技术还能有效减少机械通气压力性肺损伤,降低术后低氧血症的发生率,降低肺部感染发生率。
经过讨论,手术由杜佳辉主刀,于海峰担任第一助手,徐家文担任第二助手顺利展开。术前应用磁导航定位,将定位剂准确定位于结节,然后进行荧光镜下右肺上叶后段切除术,手术非常顺利,手术结束当天下午刘女士忍不住就要下床活动,充分体现了胸外科九病区此种新技术极致微创的优势,术后3天刘女士讲述没有感觉到疼痛,像在医院旅了次游,身心压力都得到了治愈。

现刘女士已顺利出院,术后病理报的微浸润腺癌,无需后续治疗,杜佳辉表示该项手术将无痛微创运用到极致下,达到了早期肺癌根治的效果,能够完成这种超微创手术,一方面团队在手术技术方面和疾病认知方面掌握的成熟,另一方面,离不开麻醉科和内镜室以及护理团队的高超技术和丰富经验。

供稿:河南省胸科医院