【导 语】
近日,“肺部等软组织穿刺手术机器人产品研发与示范应用”正式获得国家科技部立项批复,该项目是由广州医科大学附属第一医院牵头,广州医科大学附属第一医院国家呼吸医学中心主任、国家呼吸系统疾病临床研究中心副主任、广州呼吸健康研究院院长何建行教授主持的国家级重点研发项目,开创并引领了机器人辅助导航系统在肺结节定位中的突破性应用,为肺癌患者带来了治疗新选择和新希望。
【新技术拆除“身体炸弹”,帮助患者解忧】
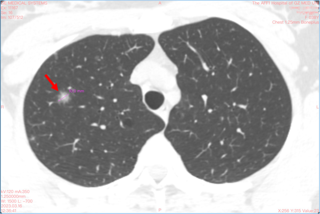
我们身体里的隐患如同定时炸弹,会给生活带来巨大的危机。而对小雨来说,这颗炸弹引爆得太早了。2022年,37岁的小雨体检发现双肺有多发结节,数量多达200余个,其中最大的结节位于右上肺,直径大小约为10mm。2023年体检的胸部CT结果提示,右上肺结节实性成份较前增加。

从去年第一次拿到体检报告的那一刻,小雨就陷入了巨大的焦虑之中。她开始不停地走入各大医院,迫切希望从专家那里得到更多的信息和支持。然而,频繁的咨询并没有解决小雨的问题,反而让她更加困惑不安,仿佛掉入一个无法找到出口的迷宫——因为每个专家都有不同的意见和建议。
其实小雨面临的问题相当复杂,考虑到患者右上肺结节的大小以及实质性成分的增加,有必要对该结节进行干预处理。然而,采取外科手术处理存在一定的难度。由于患者存在大量的肺结节,如果选择行亚肺叶切除手术来切除该结节,就必然存在要从其他结节区域切割的可能性。这不仅将显著增加其他结节扩散的风险,也违背了无肿瘤切除的原则。
正当小雨几乎绝望的时候,一个偶然的机会,她听说广州医科大学附属第一医院胸外科何建行教授团队在临床上引进了“机器人辅助导航系统”,可以极大提高肺结节定位的精准度和安全性。这个消息好像黑暗中的一束光,让小雨感到振奋,她立马赶到广州医科大学附属第一医院胸外科。
了解了小雨的病情和需求后,何建行教授团队很重视,经过深入讨论,为她制定了一套个性化的治疗方案。
考虑到该肺结节位置的特殊性,常规的经皮CT穿刺定位和经支气管磁导航定位都存在一定局限性,而使用穿刺手术机器人,不但可以提升肺结节定位的精确度,减少并发症,还可以在肿瘤穿刺活检、消融等多个微创治疗手段中发挥机器人的优势。最后,何建行教授团队决定采用机器人辅助导航系统来明确肺结节的性质并进行相应治疗。
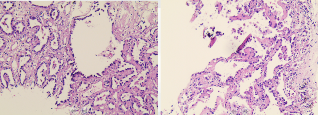
治疗中,团队先使用机器人辅助导航系统进行了CT引导下的穿刺活检,成功获取了病理组织标本,确诊右上肺结节为肺腺癌。

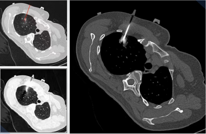
与患者充分沟通后,何建行教授团队决定放弃传统手术切除的手段,选择射频消融术来治疗右上肺结节。

2023年3月25日,在机器人辅助导航系统的协助下,团队的崔飞主任在放射科为患者成功完成了射频消融术。借助机器人辅助导航系统的精准定位功能,确保了电极毫无偏差地精确插入肺结节中。整个射频消融术过程,患者包括血压、血氧饱和度和心率的生命体征,始终保持稳定状态。术后,团队进行了定期CT随访观察,至今未发现任何气胸、严重咯血或胸腔积液等不良反应。
小雨含泪表示,她很庆幸自己最后一刻没有放弃。

【技术创新赋能,驱动医疗进步】
为了提高肺结节穿刺和消融的准确性,何建行教授团队与真健康(北京)医疗科技有限公司合作开发了机器人辅助导航系统,进行CT引导经皮肺结节定位和穿刺。该系统集光学导航系统、手术计划系统和机械臂定位穿刺系统于一体,专为介入手术而设计。

该机器人辅助导航系统拥有两大优势:(1)采用动态可视化技术描绘呼吸运动,能适应呼吸运动的非线性自然变化,确保与患者呼吸的实时同步,从而提高了穿刺精度和成功率。(2)结合呼吸门控功能,为操作者提供合适的穿刺引导时机,大幅度减少操作失误,降低风险,提高了手术的安全性。

在机器人导航系统的辅助下,医生在肺结节定位和消融过程中可以更加快速准确地找到位置,值得一提的是,他们临床学习的曲线不仅得到了大幅缩短,对手术经验的依赖程度也降低不少。对病人而言,采用手术机器人辅助治疗不仅减少了手术并发症,也缩短了手术时间,在提高手术安全性的同时极大降低了病患的痛苦。专家表示,这一技术不仅可以为患者提供更可靠更安全的治疗,还将推动肺癌介入治疗的高质量发展。
机器人辅助导航系统项目,依托广州医科大学附属第一医院,联合北京理工大学、天津大学、解放军总医院第三医学中心和真健康(北京)医疗科技有限公司等九家单位,建立了强强联合、优势互补的医工融合研发团队,开启“产-学-研-医-检”的密切合作。
该项目由广州呼吸健康疾病研究院院长何建行教授担任项目总负责人,广州医科大学第一医院党委副书记刘君教授担任临床验证和推广负责人。据悉,该项目合作研发的肺部等软组织穿刺手术机器人已获得国家重点研发计划支持,并取得国内首张肺部等软组织穿刺机器人三类医疗器械注册证。

广州医科大学附属第一医院胸外科是一个集临床、教学、科研及管理为一体的国家级临床重点专科,每年开展的肺部结节手术数量已超过6000例,且手术量还在不断攀升。针对庞大的患者群体,医院胸外科团队围绕机器人辅助导航系统项目,构建了完整的肺部等软组织穿刺诊疗手术机器人理论技术体系,并为临床提供了高精度、高安全性和智能化的肺穿刺诊疗机器人系统。这一系统目前已经得到广泛的临床应用。
此外,该团队还积极推广该技术体系到全国的三甲医院和基层医院,以提升我国肺部等软组织穿刺诊疗行业的整体医疗水平,造福广大患者。
【专家介绍】




【培训预告】本中心将于8月12日举行人工智能在肺外科应用研讨会暨穿刺手术机器人学习班”,有机会亲手操作穿刺手术机器人进行演练。敬请有意向参与的同行,参看公众号的培训预告。扫码报名!
(源自:南山呼吸)